Our office has returned to normal operations. Please call (915) 320-9424 for appointments.
Peak Family Dental
A Great Dentist
Schedule Online Now
Like us on Facebook
Leave a Google Review
Instagram
(915) 320-9424
7470 Cimarron Market, Bldg 6, Suite 300
7470 Cimarron Market, Bldg 6 Suite 300, El Paso, TX 79911
Menu
Call
Book Now
Map
Home
About
Our Team
Join Our Team
Services
View All
Six Month Smiles Braces
Dental Implants
Cosmetic Dentistry
Porcelain Veneers
Crowns & Bridges
Cleanings & Examinations
Dentures & Partials
Minimally Invasive Dentistry
Family Dentistry
Tooth Extraction
Emergency Dental Care
Smile Gallery
Testimonials
Patient Info
Forms
FAQs
View All
Dental Implants
Cosmetic Dentistry
Crowns & Bridges
Cleanings & Examinations
Dentures & Partials
Emergency Dental Care
Blog
Contact
Peak Family Dental
>
Smile Gallery
Smile Gallery
Smile Gallery Copy
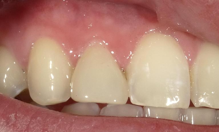
Before
After
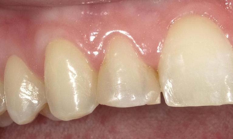
Before
After
Resin Infiltration for treatment of white spots
Read More
Before
After
Before
After
Anterior tooth bonding
Read More
Getting an appointment is
fast
and
easy
!
Get Started!
Smile Gallery Categories
Cosmetic Dentistry
Minimally Invasive Dentistry
If you have difficulty using our website, please
email us
or call us at
(915) 320-9424
View the
ADA Accessibility Statement
Turn on ADA Views
OK!
×
×
Contact Us Today
Give Us A Call
Peak Family Dental -
(915) 320-9424
Send Us an Email
Schedule Online Now
Contact
Ready to Schedule an Appointment?
Schedule Online Now
Have Questions? Contact Us:
Required Field
Your Name:
Phone:
Email:
Are you a new patient?:
Are you a?
New Patient
Current Patient
How would you like us to contact you?
Please choose
Email
Call
How did you hear about us?
Please choose
I'm an existing patient
Google/Bing
Mailer
Word of mouth
Social media
Other
Who Referred You?:
Appointment Preferences
Monday
Tuesday
Wednesday
Thursday
Your Message:
This site is protected by reCAPTCHA and the Google
Privacy Policy
and
Terms of Service
apply.
Sending...
×
This Patient's Experience
Loading Testimonial...
Loading Case...